In den letzten Wochen war so viel los, dass wir in Allem ein wenig hinterher sind. Viele Mails haben wir bekommen, die wir fast alle beantwortet haben. Wir entschuldigen uns bei denen, bei denen die Antwort noch aussteht oder ausgeblieben ist. Manchmal fordern einen Beruf, Hobby, Verein und ja, es gibt ein Leben außerhalb von facebook, extrem.
Auf jeden Fall möchten wir verkünden, dass am 02.08.2018 unsere Seven von JJ gedeckt wurde. Somit hoffen wir nun, dass wir Ende September - Anfang Oktober unseren Q-Wurf begrüßen können.
Weitere Informationen folgen in den kommenden Wochen - bis dahin lassen wir erst einmal ein paar Bilder sprechen ....

Unser neues Traumpfoten-Paar
JJ - Quinora JJ von den Traumpfoten und Seven - Keep smliing Seven von den Traumpfoten
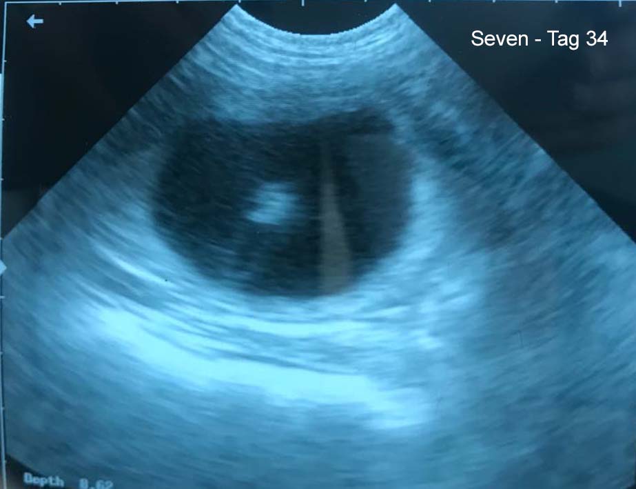
Bedingt durch den Urlaub unserer Tierärztin sind wir erstmalig beim Ultraschall an Tag 31 gewesen. Das Ergebnis war irgendwie nicht klar und so zogen wir enttäuscht wieder ab. Irgendwie hat es uns aber keine Ruhe gelassen, da Seven ansonsten alle Anzeichen einer Trächtigkeit gezeigt hat. So sind wir erneut an Tag 34 zum Ultraschall marschiert und ich denke wir sind fündig geworden.

Auch die Gewichtskurve im Vergleich zu unseren anderen Hündinnen hat sich ohne bisherige Futterumstellung als Anzeichen einer Trächtigkeit entwickelt. Inzwischen haben wir natürlich die Ernährung ein wenig umgestellt, was Seven (egal ob trächtig oder nicht) natürlich begrüßt.

Von nun an bedeutet es also Daumen drücken und die weitere Entwicklung abwarten.






