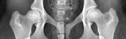
Wir freuen uns riesig mit Timo und Yvonne über die Ergebnisse von Jacko (A Tribute to Jacko von den Traumpfoten).
Jacko HD A und ED frei :-)
Wir freuen uns riesig mit Timo und Yvonne über die Ergebnisse von Jacko (A Tribute to Jacko von den Traumpfoten).
Jacko HD A und ED frei :-)